歯科
Dentistry
歯科
Dentistry
宝塚市、伊丹市、川西市、西宮市北部で、ワンちゃん・ネコちゃんの「お口のニオイ」や「食べにくそうにする様子」が気になっている飼い主様へ。
お口のトラブルは、放置すると痛みだけでなく、心臓や腎臓といった全身疾患の原因にもなります。ESSE動物病院 宝塚では、吹田本院で培った高度な麻酔管理と、歯科用レントゲンを用いた精密な診断を提供し、大切な家族の「おいしく食べる毎日」を守ります。
お口の中は普段見えにくい場所だからこそ、小さな変化に注意が必要です。
犬の病気で最も多いとされる歯周病は、放っておくと顎の骨が折れたり、細菌が内臓に回ったりする恐れがあります。当院では超音波スケーラーによる迅速な除去に加え、標準で「ポリッシング(研磨)」を実施。歯の表面をツルツルに仕上げることで、歯石の再付着を強力に防ぎます。
歯の根元に膿が溜まり、頬が腫れたり皮膚から膿が出たりする病気です。抗生剤による一時しのぎではなく、全身麻酔下でのレントゲン診断に基づき、抜歯による根本的な解決を図ります。
お口の中にも腫瘍(がん)ができます。悪性黒色腫(メラノーマ)のように進行が早いものもあります。当院は腫瘍科を得意としているため、歯科処置中に見つかった異変にも、認定医がその場で適切に判断・対応できる体制を整えています。
猫ちゃん特有の激しい炎症で、強い痛みから食欲を失ってしまうこともあります。内科治療から、有効性の高い「全臼歯抜歯」まで、ご家族の希望と猫ちゃんの状態に合わせたベストな選択肢を提案します。
猫の口内炎だと思っていたものが、実は進行の早いがん(扁平上皮がん)であるケースも少なくありません。腫瘍科の知見を活かし、細胞診や組織生検による迅速な診断を行い、早期の外科介入に繋げます。
歯石を取るだけでなく、その後の「付きにくさ」にこだわります。特殊なマイクロエンジンを使い、目に見えない歯の表面の傷を磨き上げることで、清潔な状態を長く維持します。

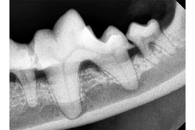
肉眼では見えない歯の根元の状態を、歯科専用のレントゲン装置で詳細に確認します。これにより、「抜くべき歯」と「残せる歯」を的確に判断し、無駄のない迅速な手術を可能にします。

歯科処置に不可欠な全身麻酔。当院では事前に心臓のチェックを含む徹底した検査を行い、一頭一頭のリスクに合わせた最適な麻酔プランを構築します。持病がある子でも、最大限安全に配慮して実施いたします。

歯科処置は、口内を隅々まで観察できる絶好の機会です。腫瘍認定医の視点で、小さな「しこり」も見逃しません。万が一の発見時も、その場で適切な検査・処置の相談が可能です。

気になるニオイや食べ方の変化、ご自宅でのデンタルケアの状況を詳しく伺います。

お口だけでなく、全身をチェックして健康状態を把握します。

全身麻酔を安全にかけるため、血液検査や胸部レントゲンなど必要な検査をご提案します。

後日、日帰りで処置を実施。口腔内の詳細な観察、歯科レントゲン撮影、歯石除去、ポリッシング、必要に応じた抜歯などを行います。

処置後の写真をお見せしながら結果を説明します。その後、綺麗な状態を保つためのデンタルケア方法を一緒に相談しましょう。

※表示価格は目安です。すべて全身麻酔下での処置となるため、別途「全身麻酔費用」が必要です。
| 視診(カウンセリング) | 0円 |
|---|---|
| 歯石除去(スケーリング) | 16,500円〜 |
| ポリッシング(研磨仕上げ) | 13,200円〜 |
| 抜歯(1本あたり) | 1,100円〜 |
「お口の健康は、全身の健康の第一歩です。」
吹田本院での確かな実績を宝塚でも。ニオイや痛みが気になったら、まずは当院の歯科カウンセリングをご利用ください。