ブログ
Blog
ブログ
Blog
今日は、ドーベルマンの女の子が皮膚病で来院されました。その時、検査の1つで皮膚エコーを行いました。
皮膚エコーをする時に、連れてきていただいた方が「皮膚エコーは初めて見た」とおっしゃっていて、少し得意気になってしまいました。
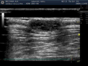
皮膚エコーは、高周波エコーで皮膚を診る検査です。よく使うのは皮膚にしこりができていたり、強く腫れている時に使います。下の写真が皮膚エコーの写真です。(別の患者さんの画像です)
(黒い塊が皮膚にできたしこりです。比較的輪郭がはっきりとしたしこりである事がわかります。)
皮膚エコーの特徴は、皮膚表面からは見えない皮膚の奥の様子を確認する事ができる、という事です。しこりがどこにあって、どこまで広がっているのか。しこりは均一な組織なのか、いろんな細胞が入り混じるような複合的な組織なのか。いろんな情報がわかってきます。
皮膚エコーだけである程度の診断ができることもありますし、診断できなくても今後の検査の進め方を考える事ができます。痛みもない検査なので当院では積極的に活用しています。
まだまだ知見が少ない検査でもあるので、知識の蓄積としても協力できればと考えています。
ESSE動物病院 院長 福間
大阪府吹田市青山台2−1−15(北千里駅から徒歩8分)
駐車場は10台以上あります。(豊中市、箕面市、茨木市、摂津市からも車で来院しやすいです)
皮膚科(アレルギー、アトピーなど)、腫瘍科(がん)、循環器科(心臓病、腎臓病)を得意としています
健康診断、予防接種、フィラリア・ノミダニ予防、避妊・去勢手術も行います。ご相談ください